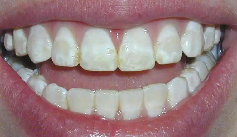
Vợ cứ bảo tôi đi bọc răng sứ nhưng mình ngần ngại, tự nhiên bọc răng làm gì? dù không tin nhưng tôi cũng thử, làm răng xong thì đây đúng là quyết định sáng suốt của tôi. Tuyệt vời.
Nụ cười – thước đo cảm xúc, thước đo của sự tự tin, nhưng một nụ cười với nhiều khuyết điểm lại làm bạn mất tự nhiên khi giao tiếp, bỏ lỡ nhiều mối quan hệ, ảnh hưởng đến cơ hội thành công, thậm chí gây cản trở vận mệnh phú quý khi xét theo nhân tướng học (khoa học Phương Đông).
Những nhược điểm về răng miệng bao lâu nay đã khiến bạn giấu đi nụ cười của mình.
Với phương pháp bọc răng sứ hiện đại, nhẹ nhàng của nha khoa quốc tế AE – Đức Trọng sẽ khiến bạn thoát khỏi những nỗi lo sau:
Điều này làm giảm lực khi bạn nhai thức ăn và quan trọng nữa nó làm cho nụ cười của bạn không được đẹp như mong muốn.
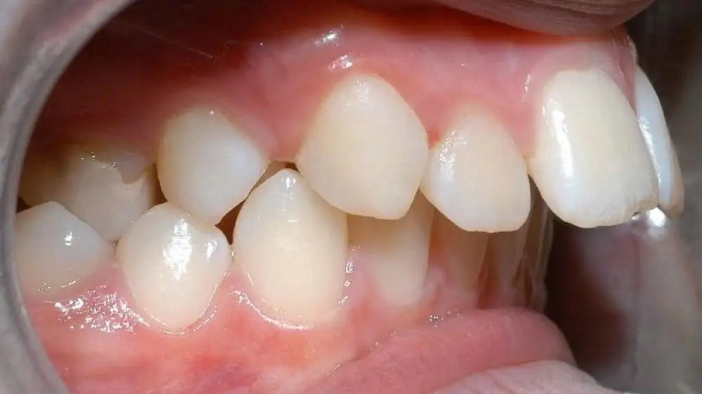
Chắc rằng không ai mong muốn một hàm răng bị hô, lệch, sứt hoặc mẻ, điều đó làm nét cười của bạn mất duyên
Răng bị ố vàng hoặc bị nhiễm màu do uống kháng sinh, do hút thuốc hoặc thói quan ăn uống không đảm bảo
Men răng của bạn bị lỗ chỗ, sâu răng khiến bạn không cảm thấy thoải mái khi nhai thức ăn, không tự nhiên khi cười.
Công nghệ bọc răng sứ trước đây tiềm ẩn nhiều biến chứng nguy hiểm và không thể phục hồi do yêu cầu phải mài đến 80% răng gốc khiến tủy bị tổn thương nghiêm trọng. Các biến chứng thường gặp có thể kể đến:
Trám răng thẩm mỹ là phương pháp phục hồi hình dạng và màu sắc của răng bị sâu, mẻ hoặc thưa bằng vật liệu có màu giống răng thật. Kỹ thuật này không chỉ giúp khôi phục chức năng ăn nhai mà còn mang lại nụ cười tự tin, tự nhiên và hài hòa hơn. Với công nghệ hiện đại và vật liệu cao cấp, trám răng thẩm mỹ ngày nay được thực hiện nhanh chóng, an toàn, không đau và có độ bền cao. Đây là lựa chọn lý tưởng cho những ai muốn cải thiện vẻ đẹp nụ cười mà vẫn giữ được răng thật.
Làm răng sứ nay đã an toàn và hiệu quả hơn rất nhiều với Nha Khoa quốc tế AE – Đức Trọng.
Khách hàng hoàn toàn an tâm vì các nhược điểm của công nghệ cũ đều đã được loại bỏ:
Nhờ công nghệ tân tiến được Nha khoa quốc tế AE – Đức Trọng đầu tư kỹ lưỡng và tận tâm, chúng tôi tự tin mang đến cho bạn nụ cười tỏa sáng, đặc biệt là an toàn nhất cho sức khỏe răng miệng sau này.
Bọc răng sứ tại Nha Khoa quốc tế AE – Đức Trọng sẽ giúp bạn:
Với chúng tôi bệnh nhân là tất cả, những gì tốt đẹp nhất chúng tôi đều dành cho bệnh nhân của mình. Đó là lý do tại sao đội ngũ chuyên gia nha khoa của chúng tôi không ngừng mài giũa và cải thiện các kỹ năng của họ để chúng tôi có thể cung cấp các kỹ thuật và phương pháp điều trị nha khoa mới nhất.
Chúng tôi hiểu rằng có rất nhiều mối lo lắng khi bạn đi khám nha khoa. Đó là lý do tại sao chúng tôi hết sức cẩn thận để đảm bảo rằng phòng khám của chúng tôi có một bầu không khí nhẹ nhàng và thoải mái, và chúng tôi cố gắng làm cho mọi điều trị của bệnh nhân trở thành một trải nghiệm không đau đớn và dễ chịu.
Chúng tôi nhận thấy bệnh nhân của chúng tôi có cuộc sống bận rộn và đôi khi rất khó để có thời gian đi đến nha sĩ. Chúng tôi luôn sắp xếp lịch khám theo yêu cầu của bệnh nhân. Đối với những người có hạn chế về thời gian bất thường, chúng tôi có thể sắp xếp các cuộc hẹn ngoài giờ theo yêu cầu.
Khi bạn bước vào một trong hai văn phòng của chúng tôi, bạn không chỉ là một bệnh nhân khác. Chúng tôi biết rằng mỗi bệnh nhân có một nhóm nhu cầu duy nhất và chúng tôi điều chỉnh mọi kế hoạch điều trị theo những nhu cầu đó. Chúng tôi cũng có nhiều phương pháp an thần khác nhau để đảm bảo rằng việc điều trị của bạn không bị căng thẳng.
Nha khoa tiêu chuẩn Châu Âu – Kiến tạo nụ cười mới cho bạn để luôn tự tin tỏa sáng
![]()
Khám và tư vấn
![]()
Vệ sinh & gây tê
![]()
Mài cùi răng
![]()
Lấy dấu răng
![]()
Thiết kế răng sứ
![]()
Lắp răng sứ
Có nhiều cách để cải thiện màu sắc của răng, trong đó tẩy trắng là phương pháp được áp dụng phổ biến nhất. Theo như nhiều nghiên cứu cho thấy, tẩy trắng răng an toàn cho sức khỏe răng miệng, không gây hại men răng hay thay đổi cấu trúc răng khi được thực hiện đúng cách.
Tuy nhiên, để đạt kết quả tốt và đảm bảo an toàn, bạn nên tìm đến nha khoa sử dụng thuốc tẩy trắng chính hãng và hệ thống đèn tẩy trắng hiện đại. Nếu thực hiện tẩy trắng tại nhà thì nên được chỉ định và giám sát bởi các bác sĩ nha khoa, tránh sử dụng thuốc bên ngoài không rõ nguồn gốc và có nồng độ tùy ý, gây tổn thương cho nướu và các bệnh lý răng miệng nghiêm trọng.
Kết quả tẩy trắng răng khác nhau tùy thuộc vào nguyên nhân và tình trạng nhiễm màu ban đầu. Mặc dù độ trắng có thể giảm dần theo thời gian, nhưng vẫn sẽ trắng hơn so với màu răng ban đầu.
Bảo vệ và duy trì nụ cười tự nhiên, hạn chế tình trạng sâu răng phát triển. Ngăn ngừa các vấn đề về hôi miệng với thời gian dài. Răng sứ có màu sắc trắng sáng tự nhiên giống hệt răng thật.
Quá trình bọc răng sứ rất an toàn, hoàn toàn không làm ảnh hưởng đến sức khoẻ. Răng sứ tồn tại trong môi trường răng miệng rất lành tính, phù hợp với mọi cơ địa và mọi lứa tuổi.
Giúp chỉnh sửa và phục hồi tính thẩm mỹ cho những trường hợp răng bị mọc thưa, lệch, không đúng vị trí, mọc chen trúc hoặc răng bị nhiễm màu nặng, nhiễm flour, răng bị bể hay sứt mẻ.
Trang thiết bị và dụng cụ y tế đã qua quy trình kiểm định nghiêm nghặt, đạt chuẩn quốc tế và hiệp hội nha khoa Việt Nam
Đã thực hiện dịch vụ bọc răng sứ và dán sứ veneer tại Nha Khoa quốc tế AE – Đức Trọng
Vợ cứ bảo tôi đi bọc răng sứ nhưng mình ngần ngại, tự nhiên bọc răng làm gì? dù không tin nhưng tôi cũng thử, làm răng xong thì đây đúng là quyết định sáng suốt của tôi. Tuyệt vời.
Tôi rất hài lòng khi đến Nha Khoa Quốc Tế AE – Đức Trọng. Đội ngũ bác sĩ chuyên nghiệp, tận tâm, tư vấn rõ ràng giúp tôi yên tâm điều trị. Phòng khám sạch sẽ, hiện đại, thiết bị tiên tiến. Sau khi tẩy trắng răng, kết quả vượt mong đợi, răng sáng đều và không ê buốt.
Tôi bị hỏng răng cửa do một tai nạn không mong muốn, việc tìm giải pháp thay thế răng làm tôi rất khổ sở. Qua việc sửa và bọc răng sứ răng cửa cho tôi, nha khoa quốc tế AE – Đức Trọng đã mang lại cho tôi sự tự tin ngày xưa, giúp tôi tiếp tục công việc lãnh đạo Kinh doanh công ty. Cảm ơn.
May quá, tôi thích làm răng sứ lâu rồi nhưng may được biết đến nha khoa quốc tế AE – Đức Trọng. Cứ tưởng đau lắm nhưng khi làm thì thấy cũng bình thường. Thẩm mỹ hàm răng giúp tôi tự tin hơn rất nhiều trong công việc và cuộc sống hàng ngày. Xin cảm ơn.
Hiệu quả bọc răng sứ khiến tôi bất ngờ, hàm răng đều và se khít hơn. Lúc đầu tôi cũng nghi ngại khi đi bọc răng, nhưng sau khi hoàn thành thì thực sự quá bất ngờ, cảm giác ăn uống rất chắc chắn và hàm răng nhìn đẹp hơn xưa, giúp tôi tự tin hơn hẳn.
Thẩm mỹ hàm răng là điều chị chưa từng nghĩ tới, nhưng do thời gian và men răng yếu, mình đã hỏng răng cửa. Qua tư vấn tôi đã được nha khoa quốc tế AE – Đức Trọng thực hiện bọc răng sứ và kết quả thật mỹ mãn. Giờ đây, tôi thực sự tự tin và an tâm với hàm răng giả sứ của mình (cười…)
Trải nghiệm tại Nha Khoa Quốc Tế AE – Đức Trọng thật tuyệt vời! Tôi làm răng sứ toàn hàm, bác sĩ làm nhẹ nhàng, kỹ lưỡng, không đau. Nhân viên chăm sóc chu đáo, luôn hỏi thăm sau điều trị. Giá cả hợp lý so với chất lượng dịch vụ cao cấp. Tôi rất tin tưởng và sẽ giới thiệu bạn bè.
Tôi được bạn giới thiệu đến Nha Khoa Quốc Tế AE – Đức Trọng để cấy implant. Bác sĩ tay nghề cao, quy trình vô trùng kỹ lưỡng, hướng dẫn tận tình. Sau điều trị, răng ăn nhai tốt, không đau nhức. Không gian sang trọng, nhân viên thân thiện. Rất hài lòng!.
Răng tôi bị ố vàng và nhạy cảm, nên hơi lo lắng khi đi tẩy trắng. Nhưng tại Nha Khoa Quốc Tế AE – Đức Trọng, bác sĩ tư vấn kỹ, thực hiện nhẹ nhàng, không ê buốt. Kết quả trắng tự nhiên, đẹp tự tin hơn hẳn. Thật sự cảm ơn đội ngũ bác sĩ chuyên nghiệp và tận tâm.
| 7:30 – 19:00 | |